当前位置:首页 >> 2026年3月 第44页

“年终回顾:相册里的温馨瞬间与美好回忆”

“年终回顾:相册里的温馨瞬间与美好回忆”
年底清相册:回忆里的每一帧,都是生活的印记亲爱的你,是不是又到了年底这个特别的时间节点?每当这个时候,你是否会情不自禁地翻开那些尘封的相册,那些记录着我们生活点滴的照片,仿佛在诉说着一个个温馨的故事。今天,就让我们一起走进年底清相册的世界,感受那些被时光遗忘的美好。一、翻箱倒柜,寻找那些年的回忆年底清相册,首先要做的就是翻箱倒柜,寻找那些被遗忘在角落里的相册。或许,它们已经被尘土覆盖,或许,它们已经被岁月侵蚀,但无论如何,它们都是我们珍贵的回忆。记得有一次,我在家里的储藏室里找到了一个破旧的木箱...

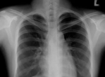
CT扫描:揭秘其对人体健康的潜在影响与安全评估

CT扫描:揭秘其对人体健康的潜在影响与安全评估
最近身边的朋友都在讨论一个话题,那就是做CT到底伤不伤身体。这让我想起了自己第一次做CT的经历,心里不禁泛起了涟漪。那么,今天我们就来聊聊这个话题,看看做CT到底有没有那么可怕。CT扫描,你了解多少?首先,让我们来了解一下什么是CT扫描。CT,全称是计算机断层扫描,是一种医学影像技术。它通过X射线从多个角度照射人体,然后通过计算机处理这些数据,生成人体内部的断层图像。听起来是不是很神奇?没错,CT扫描在医学诊断中扮演着非常重要的角色。CT扫描,安全吗?那么,做CT扫描到底伤不伤身体呢?这个问题让...

周深跨年直播

周深跨年直播
亲爱的读者们,你是否还记得那个在舞台上犹如夜空星辰般闪耀的嗓音?没错,就是那个让人陶醉的歌手——周深!就在不久前的跨年之夜,他再次用他那独特的魅力,为我们带来了一场精彩绝伦的直播盛宴。今天,就让我们一起回顾这场令人难忘的周深跨年直播,感受他那歌声中的温度和力量。星光璀璨的舞台那是一个寒冷的夜晚,但周深的直播间却充满了温暖和热情。舞台上,灯光璀璨,星光熠熠,仿佛将整个世界都点亮了。周深身着一件简约大气的黑色西装,站在舞台中央,他那深邃的眼神和迷人的微笑,瞬间吸引了无数粉丝的目光。歌声如梦,情感共鸣...

肖战2025年电视剧霸屏:多维度成就巅峰之作

肖战2025年电视剧霸屏:多维度成就巅峰之作
你有没有听说?那个在娱乐圈里风头无两的小哥哥肖战,2025年的电视剧作品简直是要火遍大江南北啊!没错,就是那个颜值与演技并存,人气爆棚的肖战,他的新剧简直让人期待到不行!今天,就让我带你从多个角度来一探究竟,看看肖战2025年的电视剧是如何多维度登顶的!一、剧情引人入胜,题材新颖独特肖战的新剧,剧情设定可谓是别出心裁。它以一个充满奇幻色彩的世界为背景,讲述了一群年轻人为了守护家园,勇敢对抗邪恶势力的故事。这样的题材在电视剧市场上可谓是鲜见,让人眼前一亮。而且,剧情紧凑,悬念迭起,让观众欲罢不能。...

被字节跳动免费食堂震惊到了

被字节跳动免费食堂震惊到了
你有没有听说最近字节跳动的免费食堂?我最近去体验了简直被震惊到了!想象每天工作之余,能享受到丰盛的美食,而且还是免费的,这待遇,简直让人羡慕得不行!食堂环境,高大上到不行一走进字节跳动的免费食堂,我就被它的环境惊艳到了。宽敞明亮的大厅,装修风格简约而不失格调,给人一种舒适的感觉。食堂的布局合理,既有宽敞的用餐区,也有专门的休闲区,让人在享受美食的同时,还能放松心情。菜品丰富,色香味俱全最让我惊喜的是食堂的菜品。这里提供的菜品种类繁多,从中式到西式,从主食到小吃,应有尽有。而且,每道菜都做得非常精...

2026年汽车报废置换补贴新规:最高补贴2万,助力绿色出行

2026年汽车报废置换补贴新规:最高补贴2万,助力绿色出行
你知道吗?2026年汽车报废置换更新,政府给出的最高补贴竟然不超过2万!这可真是让人眼前一亮的消息呢!想象你手头的那辆老古董车,终于有了升级换代的机会,而且还能拿到一笔不小的补贴,是不是有点小激动呢?那就让我们一起来看看这个政策的详细情况吧!补贴政策详解:一笔不小的“红包”首先,我们要明确这个补贴政策是针对哪些车辆的。根据官方发布的信息,这个补贴主要面向的是那些达到国家规定报废标准的车辆。也就是说,如果你的爱车已经年久失修,或者已经超过了报废年限,那么这个政策可是专门为你量身定制的哦!那么,这笔...

揭秘美国斩杀线真相:背后真相令人震惊

揭秘美国斩杀线真相:背后真相令人震惊
亲爱的读者,你是否曾对美国斩杀线的真相感到好奇?那道看似模糊的线,究竟隐藏着怎样的秘密?今天,就让我们一起揭开这层神秘的面纱,探寻美国斩杀线的真相。一、美国斩杀线的起源美国斩杀线,又称“死亡线”,起源于20世纪初的美国。当时,美国正处于工业化和城市化进程中,社会矛盾日益尖锐。为了维护社会秩序,政府开始设立一系列警戒线,以防止犯罪分子逃逸。其中,最为著名的就是“斩杀线”。二、斩杀线的具体位置据资料显示,美国斩杀线大致位于美国东海岸的纽约市至西海岸的洛杉矶市之间。这条线并非一条直线,而是根据地形、交...

刘宇宁魏劭南珩双双登榜

刘宇宁魏劭南珩双双登榜
你知道吗?最近娱乐圈可是炸开了锅,因为咱们的刘宇宁和魏劭南这对实力派演员,竟然双双登上了某知名榜单的榜首位置!这可真是让人眼前一亮,下面就让我来给你详细扒一扒,看看他们究竟是如何做到的。一、刘宇宁:从歌手到演员,跨界成功说起刘宇宁,相信很多人都会想起他在《声入人心》中的精彩表现。这位曾经的歌手,凭借着自己的嗓音和才华,成功吸引了无数粉丝。他并没有满足于此,而是勇敢地迈出了跨界的一大步。在电视剧《庆余年》中,刘宇宁饰演的角色深入人心,让观众看到了他作为演员的潜力。而这次,他更是凭借在多部作品中的出...

毛利兰票选为顶流女主角

毛利兰票选为顶流女主角
你知道吗?最近娱乐圈可是炸开了锅,因为有一个超级大事件——毛利兰票选为顶流女主角!这可是个让人激动不已的消息,毕竟毛利兰可是无数人心中的女神啊!今天,就让我带你从多个角度来了解一下这个话题,让你对这个事件有更深入的了解。毛利兰:从动漫走向现实毛利兰,这个名字对于动漫迷来说可谓是如雷贯耳。她是日本经典侦探漫画《名侦探柯南》中的女主角,温柔、善良、勇敢,是无数人心中的完美女神。而这次票选,毛利兰成功击败众多竞争对手,成为了顶流女主角,这无疑是对她人气的肯定。人气飙升:毛利兰的粉丝力量毛利兰之所以能获...

永恒瞬间,时代少年团青春足迹

永恒瞬间,时代少年团青春足迹
亲爱的读者们,你是否也有那么一群人,他们的歌声、他们的笑容,仿佛能穿越时空,永远留在你的记忆里?今天,就让我带你走进一个充满活力、青春洋溢的世界,那就是时代少年团的世界,一个永恒了每个瞬间的团体。青春的旋律,永恒的旋律时代少年团,这个名字对于很多年轻人来说,早已成为了青春的代名词。他们用音乐诠释着青春的活力,用歌声传递着对梦想的执着。从2019年出道至今,他们已经走过了无数个难忘的瞬间。舞台上的闪耀,舞台下的努力在舞台上,他们是光芒四射的明星,每一次的演出都充满了激情与活力。在舞台的背后,他们付...
加载中